ศูนย์ตรวจวินิจฉัยโรคด้วยสนามแม่เหล็ก
โรงพยาบาลสมเด็จพระยุพราชสระแก้ว
Sakaw Hospital MR Imaging Center
เปิดให้บริการตรวจวินิจฉัยโรคต่างของระบบในร่างกาย ติดต่อสอบถามและเข้ารับการตรวจได้ที่ โทร 037-220-568/092-569-6072 เปิดบริการ24ชั่วโมงทุกวัน ไม่เว้นวันหยุดราชการ(เพื่อความสะดวกกรุณานัดคิวก่อนการตรวจ)
บริษัท โตโมกราฟ จำกัด ได้ติดตั้งและให้บริการตรวจเอ็ม.อาร์.ไอ. แก่ผู้ป่วยของโรงพยาบาลสมเด็จพระยุพราชสระแก้ว และโรงพยาบาลบริเวณใกล้เคียง ภายในอาคาร มีสิ่งอำนวยความสะดวกครบถ้วน เพรียบพร้อม บริการท่านเสมือนโรงพยาบาลเอกชนโดยทีมรังสีแพทย์ที่เชี่ยวชาญ นักรังสีเทคนิค พยาบาลดูแลผุ้ป่วยในขณะก่อนและหลังการตรวจและเจ้าหน้าที่อื่นๆ ที่มีประสบการณ์สูง บริการตรวจเอ็มอาร์ไอด้วยเครื่องที่มีเทคโนโลยีสูง มีความคมชัดและแม่นยำ ที่สำคัญคือใช้เวลาในการตรวจสั้น
หลัการทำงานของเครื่องเอ็มอาร์ไอ
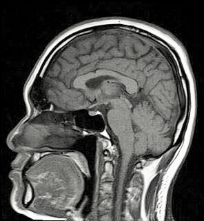
เมื่อร่างกายมีความผิดปกติจากภายใน บางครั้งการตรวจวินิจฉัยแบบธรรมดาก็ไม่สามารถแสดงผลที่ต้องการได้ปัจจุบันวงการแพทย์ได้นำเครื่องตรวจด้วยสนามแม่เหล็กแรงสูง หรือ เอ็ม.อาร์.ไอ (MRI) ซึ่งเป็นเครื่องมือบันทึกภาพทางการแพทย์ โดยการส่งถ่ายพลังงานคลื่นวิทยุจากขดลวดส่งคลื่นความถี่วิทยุไปยังผู้ป่วย ซึ่งนอนอยู่ในสนามแม่เหล็กแรงสูง พลังงานเหล่านั้นจะสะท้อนกลับมายังตัวรับสัญญาณ โดยสัญญาณที่สะท้อนกลับมาจะถูกเปลี่ยนแปลงตามคุณสมบัติของเนื้อเยื่อและหลอดเลือด ซึ่งการเปลี่ยนแปลงเหล่านี้ก็คือข้อมูลสำหรับการสร้างภาพโดยคอมพิวเตอร์ตามสรีระของผู้ป่วยจากส่วนร่างกายที่ถูกกระตุ้นด้วยพลังงานนี้ การตรวจด้วยวิธีนี้จะต้องใช้เวลาในการตรวจประมาณ 20-40 ซึ่งขึ้นอยู่กับอวัยวะที่จะตรวจ
ประโยชน์ของการตรวจเอ็มอาร์ไอ
- สามารถจำแนกคุณสมบัติของเนื้อเยื่อที่แตกต่างกันได้หลายแบบ และตรวจหาสิ่งผิดปกติในระยะแรกได้
- ตรวจได้ทุกระนาบโดยไม่ต้องขยับผู้ป่วยหรือเปลี่ยนท่าผู้ป่วย
- ไม่เกิดการแตกตัวเป็นไอออนภายในร่างกาย
- สามารถตรวจเนื้อเยื่ออ่อนที่อยู่ภายในกระดูกได้
- ไม่มีอันตรายจากรังสี เนื่องจากไม่ใช้รังสีเอกซเรย์ในการตรวจ(ใช้พลังงานแม่เหล็ก)
- สามารถทำการตรวจได้แม้เป็นโรคไตวาย (RENAL FAILURE) หรือมีค่าเคทินีนสูง
- ลดอันตรายจากการแพ้สารทึบแสงชนิดไอโอนิคหรือแพ้อาหารทะเล
การเตรียมพร้อมเพื่อตรวจเอ็มอาร์ไอ
- โดยทั่วไปไม่ต้องงดน้ำและอาหารก่อนการตรวจ(ยกเว้นการตรวจช่องท้อง Upper/Lower abdomen /MRCPต้องงดน้ำและอาหารก่อนการตรวจอย่างน้อย 6 ชั่วโมง)
- ในกรณีที่ผู้ป่วยไม่ให้ความร่วมมือ จำเป็นต้องให้ยาระงับความรู้สึก หรือดมยาสลบ ผู้ป่วยต้องงดน้ำและอาหารก่อนตรวจอย่างน้อย 6 ชั่วโมง
- ควรงดใช้เครื่องแต่งหน้า(แป้ง/ทาขอบตา/ทาลิปติก)ในวันตรวจ
- ถอดโลหะทุกชนิดออกจากตัว(ก่อนเข้าห้องตรวจ)
- แจ้งเจ้าหน้าที่ทันทีมีโลหะอยู่ภายในในร่างกาย(เช่น ผ่าตัดใส่เหล็ก มีลูกกระสุนปืนในร่างกาย เป็นต้น)
- ควรมีญาติมาด้วย 1 คน และทำจิตใจให้สบายไม่ต้องกังวล เนื่องจากการตรวจไม่เจ็บ เพียงแค่นอนนิ่งๆ
การปฏิบัติตัวก่อนเข้าห้องตรวจ
- เปลี่ยนเสื้อผ้าที่มีโลหะออก สวมใส่ชุดและเปลี่ยนรองเท้าที่เตรียมไว้ให้
- ห้ามสวมสิ่งของเครื่องประดับที่เป็นโลหะ เช่น กิ๊บติดผม ฟันปลอม ต่างหู เครื่องประดับต่าง ๆ เป็นต้น
- ถ้าผู้ป่วยเคยผ่าตัดใส่โลหะในร่างกายหรือวัตถุอื่น ๆ ต้องบอกเจ้าหน้าที่ก่อนเข้าห้องตรวจ
- ผู้ป่วยควรปัสสาวะก่อนเข้าห้องตรวจ เนื่องจากการตรวจอาจจะใช้เวลานาน
- ใช้เครื่องอุดหูที่เตรียมไว้ให้อุดก่อนเข้าห้องตรวจ เนื่องจากมีเสียงดังรบกวนในขณะตรวจ
- การปฏิบัติตัวระหว่างทำการตรวจ ผู้ป่วยจะต้องไม่ขยับหรือเคลื่อนไหวส่วนที่ทำการตรวจเด็ดขาด เพื่อจะได้ภาพที่ชัดเจน
กลุ่มเฉพาะที่ห้ามตรวจด้วยเครื่องเอ็มอาร์ไอ
- ผู้ที่ผ่าตัดใส่เครื่องกระตุ้นการทำงานของหัวใจให้เป็นจังหวะ
- ผู้ที่ผ่าตัดติดคลิปอุดหลอดเลือดในโรคเส้นเลือดโป่งพอง
- ผู้ที่ผ่าตัดใส่อวัยวะเทียมภายในหู
- ผู้ที่มีโลหะต่าง ๆ ภายในร่างกาย เช่น ข้อเทียมต่าง ๆ โลหะตามกระดูก กระสุนปืน เป็นต้น
- สตรีมีครรภ์ โดยเฉพาะอย่างยิ่งในระยะ 3 เดือนแรกของการตั้งครรภ์
- ผู้ที่คิดว่ามีสิ่งแปลกปลอมที่เป็นโลหะติดอยู่ที่ตา
- ผู้ที่ไม่สามารถนอนในอุโมงค์ตรวจได้(กลัวที่แคบ)
เนื่องจากภายในห้องตรวจเอ็ม.อาร์.ไอ.มีสนามแม่เหล็กแรงสูงตลอดเวลา ซึ่งจะมีผลต่าง ๆ ต่อการทำงานของเครื่องมือที่ไวต่อแม่เหล็ก เช่น เครื่องกระตุ้นการทำงานของหัวใจให้เป็นจังหวะ ดึงดูดวัตถุที่เป็นโลหะทุกชนิดที่เหนี่ยวนำแม่เหล็ก เช่น เหล็กโลหะอื่น ๆ ที่มีส่วนประกอบของเหล็ก รวมทั้งมีผลต่อข้อมูลที่ใช้แถบแม่เหล็กบัตรที่ใช้แถบแม่เหล็ก โดยข้อมูลจะถูกลบ เช่น บัตร ATM, บัตรเครดิต เป็นต้น
สามารถตรวจค้นหา โรคร้ายต่างๆในร่างกายได้
การตรวจเอ็มอาร์ไอสามารถตรวจค้นหาโรคต่างๆในร่างการ เช่น โรคมะเร็ง เนื้องอก การอักเสบ ถุงน้ำ นิ่วในไต หรือกระเพาะปัสสาวะ ทางเดินน้ำดีอุดตัน หนองในโพรงจมูก หลอดเลือดตีบ หลอดเลือดโป่งพอง หลอดเลือดแตก หลอดเลือดตีบ หลอดเลือดโป่งพอง ลิ้นหัวใจรั่ว กระดูกแตก ข้ออักเสบ เอ็นอักเสบ หมอนรองกระดูกทับเส้นประสาท กระดูกสันหลัง(คอ/หลัง/เอว)เสื่อม มะเร็งต่อมลูกหมาก ต่อมลูกหมากโต เป็นต้น
สามารถตรวจวินิจฉัยอวัยวะได้
สมอง และเส้นประสาท ตา และเส้นประสาทตา รูหู โพรงจมูก คอ ไทรอยด์ ปอด ตับ ไต ม้าม ตับอ่อน ถุงน้ำดี มดลูก รังไข่ ต่อมลูกหมาก ข้อต่อต่าง(ไหล่/ข้อมือ/ข้อเท้า/เข่า/ข้อนิ้ว) กระดูก(แขน/ขา/เท้า) ระบบหลอดเลือดที่แขน/ช่องท้อง/ไต/ขา/ปลายแขนปลายขา/หลอดเลือดที่หัวใจ กระดูสันหลัง(คอ หลังและเอว)
กรณีต้องฉีดสารทึบแสง
บางครั้งอาจต้องฉีดสารทึบแสงเพื่อทำให้ได้ภาพที่ชัดเจนมากยิ่งขึ้น และสามารถแยกรอยโรคชัดเจน แม่นยำ ถ้ามีอาการผิดปกติ ในขณะฉีด เช่น หายใจไม่ออก เหนื่อย คัน อัดอัดมาก ให้รีบแจ้งเจ้าหน้าที่ทันทีและเมื่อตรวจเสร็จให้ดื่มน้ำมากๆ
ติดต่อสอบถามและเข้ารับการตรวจได้ที่
ศูนย์ตรวจเอ็มอาร์ไอ โรงพยาบาสมเด็จพระยุพราชสระแก้ว ตั้งอยู่ที่อาคารเอ็มอาร์ไอบริเวณชั้น 1ติดกับแผนกเอกซเรย์ โทรติดต่อสอบถามรายละเอียดเพิ่มเติม นัดหมายเวลาตรวจ โทร 037-220-568/092-559-6072/037-220-567 เปิดให้บริการตลอด 24 ชั่วโมง ทุกวันไม่เว้นวันหยุดราชการ
ผู้ป่วยที่ใช้สิทธิ์บัตรทองหรือประกันสังคม ข้าราชการจ่ายตรง กรุณาเตรียมเอกสารไปพร้อมกับผู้ป่วย เช่นใบส่งตรวจ(ใบRefer)+สำเนาบัตรประชาชน+สำเนาบัตรสิทธิ์(บัตรทอง/ประกันสังคม)+เอกสารตรวจสอบสิทธิ์ (ข้าราชการสามารถนำใบเสร็จ ไปเบิกคืนต้นสังกัดได้ทั้งหมด)
Visit us at : www.Simahealthcare.com / ID LINE : simahc
ศูนย์เอ็มอาร์ไอโรงพยาบาลสมเด็จพระยุพราชสระแก้ว
- รหัสสินค้า: 000
- สถานะสต๊อก: มีสินค้าในสต๊อก
-
$0.00
- ยังไม่รวมภาษี: $0.00




























